GEMM MEDIA
HEALTH
The Braman Comprehensive Cancer Center
Puedes ver el edificio de vidrio de cinco pisos mientras conduces hacia Miami Beach, ubicado a lo largo de la pintoresca costa de la Bahía de Biscayne. Los ejecutivos del hospital dicen que el Centro Integral de Cáncer Braman fue diseñado pensando en el bienestar, para proporcionar atención no solo para la salud física del paciente, sino también para su salud mental y emocional....
First human case of flesh-eating screwworm parasite detected in the U.S.
The parasite — the larvae of the new world screwworm fly — can devastate cattle herds and is rife in parts of Central America...
Key Principles of the Blue Zone Diet
Nutrient-Dense Foods: The diet emphasizes nutrient-rich foods such as dark leafy green...
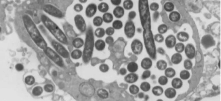
NYC Legionnaires' outbreak linked to two city-run buildings, including Harlem Hospital
Benefits of Physical Activity
Both eating patterns and physical activity routines play critical roles in weight management. You can gain weight when you consume more calories than the amount of calories you burn...

FDA Authorizes Updated COVID Vaccines with Restrictions on Who Can Get Them
CDC Warns of Mosquito-borne Chikungunya Outbreak in Southeast China









